近日,临床医学院/附属医院骨三科成功为一名左侧内踝骨折患者行关节镜监视下左侧内踝骨折闭合复位螺钉内固定术。患者术后恢复良好,疼痛明显缓解,手术效果显著,标志着临床医学院/附属医院关节镜微创技术跃上新的台阶。

图为术中操作
今年36岁的李某左踝部不慎被铲车车轮碾压,且全身多处挫伤,送往临床医学院/附属医院急救,收治于骨三科住院,诊断为左侧内踝骨折。经讨论后骨三科朱述浪主任决定采用在关节镜监视下行左侧内踝骨折闭合复位螺钉内固定术。手术过程顺利,术中骨折复位成功,填补了临床医学院/附属医院踝关节手术领域的空白。

境下用探钩清理骨折断端软组织及血凝块
关节镜技术是近年来骨折领域的一大进展,目前临床医学院/附属医院以膝、肩关节镜为主。通过关节镜技术可在直视下观察骨折断端复位和关节面情况,很大程度上弥补了开放手术观察视野不足和切口较大的缺陷,此外还便于术中检查关节腔内有无游离的小骨折块或者小的游离体。踝关节镜手术具有创伤小(切口仅为0.5cm)、出血少、康复快、并发症少及有利于患者早期康复训练等优点,成为运动医学领域的一个重要分支。

踝关节镜微创手术切口(仅0.5cm)

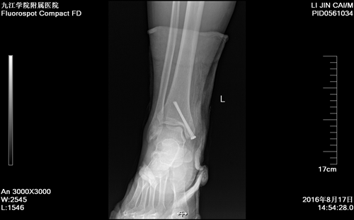
术后复查X线片显示患者骨折复位良好,螺钉位置佳
朱主任介绍,踝关节镜手术的适应症主要有两类。一是诊断性关节镜,包括不明原因的踝关节慢性疼痛,超过3个月,保守治疗无效;急性韧带损伤;慢性踝关节不稳定;滑膜组织病变;软骨损伤;伴有软骨损伤的关节内骨折。二是治疗性关节镜,包括踝关节不稳定;类风湿关节炎;踝关节滑膜炎;关节内骨折、骨不连;外伤或术后关节纤维变性;踝关节撞击综合征;关节内游离体或骨赘;关节囊挛缩等。